PERIODONTOLOGY
PERIODONTOLOGY (GUM TREATMENT)

Пародонт – це комплекс м’яких і твердих тканин, що оточують зуб і його корінь, в які входить не тільки ясна, а й зв’язки, що міцно утримують дентальну одиницю в зубній лунці щелепної кістки.
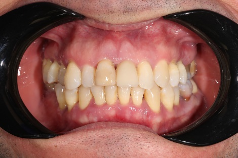
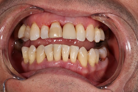
Пародонтит є одним з найбільш поширених стоматологічних захворювань: ним хворіє близько 90% людей після 40 років. Його небезпека полягає в запаленні м'яких тканин, що виконують захисну функцію зуба, а також подальшому руйнуванні кісткової тканини і зубоясеннего з'єднання.
Початкові стадії розвитку захворювання пародонту в більшості випадків не сприймаються пацієнтом як такі, що вимагають негайного стоматологічного втручання. Через це захворювання прогресує: поступово запалення поширюється, збільшується кровоточивість, спостерігається рецесія ясен і оголення кореня зуба.

Види пародонтиту та його класифікація
Пародонтит у дорослих — це причина прогресуючого деструктивно-запального процесу, що поступово залучає навколишні тканини, етапи розвитку якого відрізняються за характером клінічного перебігу, походження та розповсюдження.
Залежно від походження класифікація пародонтитів така:
- Інфекційні (розвиваються в результаті поширення інфекції після ускладнень карієсу, пульпіту тощо);
- Травматичні (виникають через сильний зовнішній вплив або травмування зуба);
- Медикаментозні (провокуються прийомом деяких лікарських засобів).
За характером клінічного перебігу пародонтит буває:
Гострий пародонтит (характеризується яскравими та гострими хворобливими відчуттями, які зникають протягом декількох днів, переходячи в іншу форму патології);
Хронічний пародонтит (млявий процес, що часто протікає без зовнішніх симптомів, а іноді з швидко зникаючим болем, що поступово збільшує вогнище уражених тканин):
1. Фіброзний — початкова стадія хронічного безсимптомного пародонтиту, який можна визначити лише випадково за допомогою рентгена;
2. Гранулюючий — наступна стадія, головним симптомом якої є поява гнійного болю, що відокремлюється і безперервного;
3. Гранулематозний — поява в товщі ясенних тканин гнійної кісти, що потребує термінового хірургічного видалення.
Швидко прогресуючий (виявляється у вигляді вираженої втрати альвеолярного гребеня в генералізованій формі як по вертикальному типу, так і по горизонтальному:
1. Тип А — розвивається у пацієнтів віком від 14 до 26 років;
2. Тип В — виникає у пацієнтів віком від 26 до 35 років.
За поширеністю пародонтити бувають:
- Локалізовані (розвиток запального процесу проходить в області 1-2 зубів, найчастіше внаслідок травми);
- Генералізовані (комплексний запальний процес, що охопив великі області пародонту).
Причини виникнення пародонтиту
Складно діагностувати якусь одну конкретну причину виникнення пародонтиту у дорослих. Фахівці клініки Дому стоматології вважають, що найчастіше він виникає внаслідок впливу кількох провокуючих факторів:
- Неграмотна або недостатня гігієна порожнини рота;
- Утворення глибоких пародонтальних кишень;
- М’який і твердий наліт, зубний камінь;
- Хвороботворні мікроорганізми та індуковані ними токсини;
- Патологія прикусу та зубощелепні дефекти;
- Незбалансований раціон, що містить мінімальну кількість корисних речовин;
- Зловживання тютюнопалінням та алкоголем;
- Хронічні загальні захворювання організму (порушення роботи шлунково-кишкового тракту, цукровий діабет, імунодефіцитні патології тощо);
- Зміни гормонального фону (наприклад, під час вагітності);
- Прийом деяких лікарських препаратів;
- Пережовування їжі на одній стороні з неправильним перерозподілом жувального тиску з подальшим навантаженням щелепи;
- Переломи та інші травми зубного кореня;
- Неправильне положення зуба;
- Разгерметизація та потрапляння інфекції в раніше запломбований кореневий канал;
Карієс, пульпіт, гінгівіт і т.д.
Симптоми пародонтиту у дорослих
There are no products to list in this category.