THERAPEUTIC DENTISTRY
THERAPEUTIC DENTISTRY



Лікування кореневих каналів або ендодонтія – це вид стоматологічної допомоги, направлений на усунення інфекції всередині зуба, в першу чергу консервативними інструментальними методами.
Ендодонтичне лікування полягає в лікуванні кореневих каналів в зубі, тієї частини, де знаходиться пульпа, «нерв». При розвитку карієсу руйнується емаль, внаслідок чого бактерії проникають у дентин і всередину зуба. В результаті інфікування зубної порожнини виникає запальний процес, від якого пульпа гине, а запалення переходить у тканини навколо зуба. Прогноз в цьому випадку різко погіршується, і без своєчасного правильного лікування зуб, швидше за все, доведеться видалити.
Лікування кореневих каналів
Лікування запалення нерва в зубі полягає в ретельному видаленні залишків нерва з зуба, очищення кореневого каналу і подальшому його пломбування.
Ендодонтичне лікування зуба проводиться лікарем з урахуванням особливостей захворювання і ступенем ураження конкретного зуба.



Як правило, на початкових стадіях хвороби, ендодонтичне лікування кореневих каналів проходить легше, безболісніше і виключає подальші ускладнення. Тому дуже актуально своєчасне звернення за медичною допомогою.
Якщо лікар пропонує вам провести ендодонтичне лікування кореневих каналів, ні в якому разі не варто відмовлятися, тому що цим ви можете нашкодити своєму здоров'ю. Досвідчений фахівець може виявити проблему на ранніх стадіях і надати найбільш ефективну допомогу.
Ендодонтичне лікування застосовується і в наступних випадках:
· Гострий пульпіт -запальний процес, що протікає в пульпі зуба, внаслідок глибокого каріозного ураження тканин зубів. При цьому інфікується судинно-нервовий пучок, що викликає дуже сильний біль, який посилюється при різних подразниках;
· Хронічний пульпіт – уповільнений запальний процес судинно-нервового пучка, який може бути внаслідок таких причин: глибокого карієсу, об’ємних реставрацій, хронічних травм зуба, наявності в зубі глибоких тріщин;
· Періодонтит – наявність запалення за верхівкою кореня зуба. Симптоми періодонтиту можуть бути найрізноманітнішими: від відсутності до сильного болю при дотику до зуба і реакції зуба на гаряче;
· Нориці – іноді утворюються при великих ураженнях кісткової тканини внаслідок періодонтиту;
· Травми зуба ;
· У рідкісних випадках – за ортопедичними показаннями.
Ендодонтичне лікування кореневих каналів
Перед тим, як приступити до лікування, стоматолог повинен підготувати зуб:
1. видалити тканини, які уражені карієсом;
2. відновити сильно зруйновані частини коронки зуба;
3. усунути пульпу;
4. знаходження всіх каналів, а також їх відгалужень;
5. визначити глибину каналів зубного кореня;
6. механічна розробка каналів;
7. хімічна обробка каналів;
8. герметична обтурація.
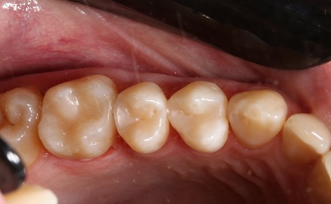
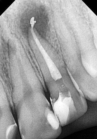
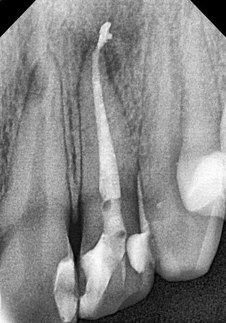
Пломбування кореневих каналів.
Якісно запломбовані кореневі канали є основою довговічності. Тому очищення і пломбування кореневих каналів в «Домі Стоматології» приділяється особлива увага! Після пломбування кореневих каналів проводиться контроль якості пломбування за допомогою знімка.
Своєчасне лікування кореневих каналів дозволяє врятувати зуб!
ЧОМУ ЛІКУВАННЯ ЗУБІВ ПІД МІКРОСКОПОМ – ЦЕ НЕ ПРИМХА, А НЕОБХІДНІТЬ
Застосування дентального мікроскопу – це можливість бачити всередині каналу, а не працювати наосліп. Це інноваційний підхід з прогнозованим результатом. Всі наші лікарі – фахівці з лікування “мікро”. Складна оптика дозволяє лікарю провести лікування гранично точно: видалити лише пошкоджені тканини, пролікувати складні канали, ідеально відновити форму зуба.
Переваги використання мікроскопа:
1. Збільшувальна оптика є найкращим інструментом для візуалізації анатомії зубів, що дозволяє при лікуванні торкатися лише пошкоджену частину зуба і залишати якомога більше здорових тканин. Тим самим, використання мікроскопа в стоматології запобігає поширенню інфекції ще на етапі її виникнення і сильно подовжує термін життя зуба.
2. Забезпечення щільного прилягання пломби до емалі після лікування зуба — ідеальна поверхня, відсутність мікротріщин і нерівностей — гарантія надійності і довговічності пломби.
3. Висока якість лікування кореневих каналів. Завдяки використанню мікроскопа стоматолог може:
· бачити внутрішню будову каналів, особливості анатомії
· точно визначити ступінь чистоти каналу
· збільшується можливість вилучення чужорідних тіл (штифтів, в тому числі скловолоконних, вуглецевих і анкерних уламків інструментів)
· має можливість використовувати матеріали для консервативного лікування кіст, часто уникаючи тим самим хірургічний етап лікування.
4. Висока точність і якість в лікуванні зубів під мікроскопом при протезуванні:
· Контроль якості виготовлення вінірів, коронок, вкладок і інших елементів реставраційного відновлення з підвищеними естетичними вимогами.
· Точність обпилювання зубних тканин при протезуванні, що виключає втрату здорових тканин і травмування ясен.
Професіоналізм і досвід лікаря завжди будуть на першому місці, однак з використанням збільшувальною оптики і мікроскопа якість лікування зубів стає вище!
There are no products to list in this category.