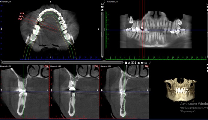
ДІАГНОСТИКА

Комп’юторна Томографія: для чого вона і що це взагалі
таке?
Перший візит до
стоматолога майже завжди супроводжується потребою зробити комп’ютерну
томографію (КТ). Це сучасний метод діагностики, який дозволяє дізнатись про
особливості будови щелеп та зубного ряду, та виявити приховані патології
різного роду.
КТ необхідна, щоб:
побачити та оцінити
стан зубів, які ще не прорізалися, анатомію каналів та якість лікування.
Виявити приховані та
вторинні карієси
уточнити глибину
пошкодження
оцінити ступінь
руйнування щелепної кістки.
КТ потрібна для
отримання детальної картини стану зубо-щелепного апарату, постановки точного
діагнозу. Від цього залежить підбір та ефективність лікування.
Чи обов'язково його
робити? Так, якщо ви зацікавлені в точних та результативних діях стоматолога.
В категорії немає товарів