ТЕРАПЕВТИЧНА СТОМАТОЛОГІЯ
ТЕРАПЕВТИЧНА СТОМАТОЛОГІЯ



Лікування
кореневих каналів або ендодонтія – це вид стоматологічної допомоги, направлений
на усунення інфекції всередині зуба, в першу чергу консервативними
інструментальними методами.
Ендодонтичне
лікування полягає в лікуванні кореневих каналів в зубі,
тієї частини, де знаходиться пульпа, «нерв». При розвитку карієсу руйнується
емаль, внаслідок чого бактерії проникають у дентин і всередину зуба. В
результаті інфікування зубної порожнини виникає запальний процес, від якого
пульпа гине, а запалення переходить у тканини навколо зуба. Прогноз в цьому випадку
різко погіршується, і без своєчасного правильного лікування зуб, швидше за все, доведеться видалити.
Лікування кореневих каналів
Лікування запалення
нерва в зубі полягає в ретельному видаленні залишків нерва з зуба, очищення
кореневого каналу і подальшому його пломбування.
Ендодонтичне лікування зуба проводиться лікарем з урахуванням особливостей захворювання і ступенем ураження конкретного зуба.



Як правило, на початкових стадіях
хвороби, ендодонтичне лікування кореневих каналів проходить легше, безболісніше
і виключає подальші ускладнення. Тому дуже актуально своєчасне звернення за
медичною допомогою.
Якщо лікар пропонує вам провести
ендодонтичне лікування кореневих каналів, ні в якому разі не варто
відмовлятися, тому що цим ви можете нашкодити своєму здоров'ю. Досвідчений
фахівець може виявити проблему на ранніх стадіях і надати найбільш ефективну
допомогу.
Ендодонтичне лікування застосовується і в наступних випадках:
·
Гострий пульпіт -запальний процес, що протікає в
пульпі зуба, внаслідок глибокого каріозного ураження тканин зубів. При цьому
інфікується судинно-нервовий пучок, що викликає дуже сильний біль, який
посилюється при різних подразниках;
·
Хронічний пульпіт – уповільнений запальний процес
судинно-нервового пучка, який може бути внаслідок таких причин: глибокого
карієсу, об’ємних реставрацій, хронічних травм зуба, наявності в зубі глибоких
тріщин;
·
Періодонтит – наявність запалення за
верхівкою кореня зуба. Симптоми періодонтиту можуть бути найрізноманітнішими:
від відсутності до сильного болю при дотику до зуба і реакції зуба на гаряче;
·
Нориці – іноді утворюються при великих
ураженнях кісткової тканини внаслідок періодонтиту;
·
Травми зуба ;
·
У рідкісних випадках – за ортопедичними показаннями.
Ендодонтичне лікування
кореневих каналів
Перед тим, як приступити до лікування, стоматолог повинен підготувати зуб:
1. видалити тканини, які уражені
карієсом;
2. відновити сильно зруйновані
частини коронки зуба;
3. усунути пульпу;
4. знаходження всіх каналів, а також
їх відгалужень;
5. визначити глибину каналів зубного
кореня;
6. механічна розробка каналів;
7. хімічна обробка каналів;
8. герметична обтурація.
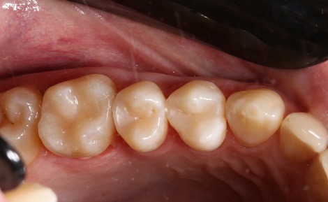
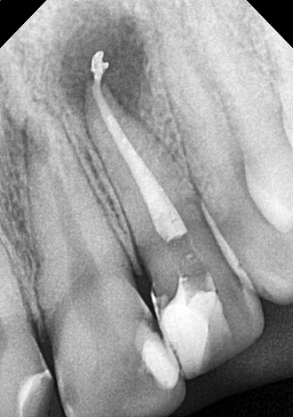
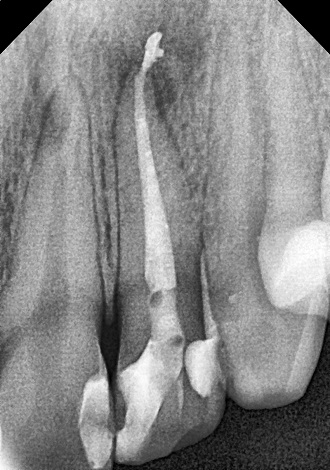
Пломбування кореневих каналів.
Якісно запломбовані кореневі канали є основою
довговічності. Тому очищення і пломбування кореневих каналів в «Домі Стоматології»
приділяється особлива увага! Після пломбування кореневих каналів проводиться
контроль якості пломбування за допомогою знімка.
Своєчасне лікування кореневих каналів дозволяє
врятувати зуб!
ЧОМУ ЛІКУВАННЯ ЗУБІВ ПІД
МІКРОСКОПОМ – ЦЕ НЕ ПРИМХА, А
НЕОБХІДНІТЬ
Застосування дентального
мікроскопу – це можливість бачити всередині каналу, а не працювати наосліп. Це інноваційний
підхід з прогнозованим результатом. Всі наші лікарі – фахівці з лікування
“мікро”. Складна оптика дозволяє лікарю провести лікування гранично точно:
видалити лише пошкоджені тканини, пролікувати складні канали, ідеально
відновити форму зуба.
Переваги використання мікроскопа:
1.
Збільшувальна
оптика є найкращим інструментом для візуалізації анатомії зубів, що дозволяє
при лікуванні торкатися лише пошкоджену частину зуба і залишати якомога більше
здорових тканин. Тим самим, використання мікроскопа в стоматології запобігає
поширенню інфекції ще на етапі її виникнення і сильно подовжує термін життя
зуба.
2.
Забезпечення
щільного прилягання пломби до емалі після лікування зуба — ідеальна поверхня,
відсутність мікротріщин і нерівностей — гарантія надійності і довговічності
пломби.
3.
Висока
якість лікування кореневих каналів. Завдяки використанню мікроскопа стоматолог
може:
·
бачити
внутрішню будову каналів, особливості анатомії
·
точно
визначити ступінь чистоти каналу
·
збільшується
можливість вилучення чужорідних тіл (штифтів, в тому числі скловолоконних,
вуглецевих і анкерних уламків інструментів)
·
має
можливість використовувати матеріали для консервативного лікування кіст, часто
уникаючи тим самим хірургічний етап лікування.
4. Висока точність і
якість в лікуванні зубів під мікроскопом
при протезуванні:
· Контроль
якості виготовлення вінірів, коронок, вкладок і інших елементів реставраційного
відновлення з підвищеними естетичними вимогами.
· Точність
обпилювання зубних тканин при протезуванні, що виключає втрату здорових тканин
і травмування ясен.
Професіоналізм і
досвід лікаря завжди будуть на першому місці, однак з використанням
збільшувальною оптики і мікроскопа якість лікування зубів стає вище!
В категорії немає товарів