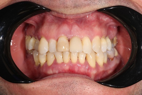
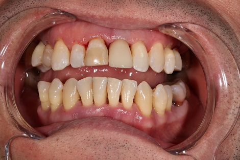
ПАРОДОНТОЛОГІЯ
ПАРОДОНТОЛОГІЯ (ЛІКУВАННЯ ЯСЕН)

Пародонт –
це комплекс м’яких і твердих тканин, що оточують зуб і його корінь, в які
входить не тільки ясна, а й зв’язки, що міцно утримують дентальну одиницю в
зубній лунці щелепної кістки.
Пародонтит є одним з найбільш поширених
стоматологічних захворювань: ним хворіє близько 90% людей після 40 років. Його
небезпека полягає в запаленні м'яких тканин, що виконують захисну функцію зуба,
а також подальшому руйнуванні кісткової тканини і зубоясеннего з'єднання.
Початкові стадії розвитку захворювання пародонту в більшості випадків не сприймаються пацієнтом як такі, що вимагають негайного стоматологічного втручання. Через це захворювання прогресує: поступово запалення поширюється, збільшується кровоточивість, спостерігається рецесія ясен і оголення кореня зуба.

Види пародонтиту та
його класифікація
Пародонтит у дорослих
— це причина прогресуючого деструктивно-запального
процесу, що поступово залучає навколишні тканини, етапи розвитку якого відрізняються
за характером клінічного перебігу, походження та розповсюдження.
Залежно від походження класифікація пародонтитів така:
- Інфекційні (розвиваються
в результаті поширення інфекції після ускладнень карієсу, пульпіту тощо);
- Травматичні (виникають
через сильний зовнішній вплив або травмування зуба);
- Медикаментозні (провокуються
прийомом деяких лікарських засобів).
За характером клінічного перебігу пародонтит буває:
Гострий
пародонтит (характеризується яскравими
та гострими хворобливими відчуттями, які зникають протягом декількох днів,
переходячи в іншу форму патології);
Хронічний
пародонтит (млявий процес, що часто протікає без зовнішніх симптомів, а
іноді з швидко зникаючим болем, що поступово збільшує вогнище уражених тканин):
1. Фіброзний — початкова
стадія хронічного безсимптомного пародонтиту, який можна визначити лише
випадково за допомогою рентгена;
2. Гранулюючий — наступна
стадія, головним симптомом якої є поява гнійного болю, що відокремлюється і
безперервного;
3. Гранулематозний — поява в товщі ясенних тканин гнійної кісти, що
потребує термінового хірургічного видалення.
Швидко
прогресуючий (виявляється у
вигляді вираженої втрати альвеолярного гребеня в генералізованій формі як по
вертикальному типу, так і по горизонтальному:
1. Тип А —
розвивається у пацієнтів віком від 14 до 26 років;
2. Тип В —
виникає у пацієнтів віком від 26 до 35 років.
За поширеністю пародонтити бувають:
- Локалізовані (розвиток
запального процесу проходить в області 1-2 зубів, найчастіше внаслідок
травми);
- Генералізовані (комплексний
запальний процес, що охопив великі області пародонту).
Причини виникнення
пародонтиту
Складно діагностувати якусь одну конкретну причину
виникнення пародонтиту у дорослих. Фахівці клініки Дому стоматології вважають,
що найчастіше він виникає внаслідок впливу кількох провокуючих факторів:
- Неграмотна
або недостатня гігієна порожнини рота;
- Утворення
глибоких пародонтальних кишень;
- М’який
і твердий наліт, зубний камінь;
- Хвороботворні
мікроорганізми та індуковані ними токсини;
- Патологія
прикусу та зубощелепні дефекти;
- Незбалансований
раціон, що містить мінімальну кількість корисних речовин;
- Зловживання
тютюнопалінням та алкоголем;
- Хронічні
загальні захворювання організму (порушення роботи шлунково-кишкового
тракту, цукровий діабет, імунодефіцитні патології тощо);
- Зміни
гормонального фону (наприклад, під час вагітності);
- Прийом деяких
лікарських препаратів;
- Пережовування
їжі на одній стороні з неправильним перерозподілом жувального тиску з
подальшим навантаженням щелепи;
- Переломи
та інші травми зубного кореня;
- Неправильне
положення зуба;
- Разгерметизація
та потрапляння інфекції в раніше запломбований кореневий канал;
Карієс, пульпіт, гінгівіт і т.д.
- Пн-Пт з 8.00 до 20.00
- Сб з 8.00 до 20.00
- Нд Вихідний
- м.Луцьк, вулиця Олександра Богачука, 12
Розробка компанії "Agency.Maks.City" Луцьк © 2025