ОРТОДОНТІЯ
ОРТОДОНТІЯ (ВИПРАВЛЕННЯ ПРИКУСУ, ВИРІВНЮВАННЯ ЗУБІВ)

Сьогодні носити брекети модно і не
соромно, тому не виникає проблем з їх установкою дітям. Брекети для дітей
необхідні, щоб виправити вроджені або набуті дефекти зубного ряду, що є не
тільки проблемою естетичного характеру, а й при відсутності лікування може
провокувати виникнення численних проблем – руйнування зубів, проблеми з
травленням, порушення дикції.
Основне завдання батьків – стежити за прикусом, і при
виникненні дефектів невідкладно звертатися до стоматолога – ортодонта.
Необхідно пам’ятати про те, що лікування мають піддаватися не тільки постійні,
але і молочні зуби. В нашій клініці «Дім Стоматології» підбір методу лікування
здійснюється тільки після ретельної діагностики ротової порожнини. Всі брекет –
системи, відрізняються:
– зручністю;
– естетичністю;
– надійністю;
– ефективністю.
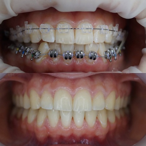
Брекети: що важливо знати перед встановленням
Брекети – незнімні ортодонтичні конструкції складної
будови, які вирішують проблему кривизни зубного ряду й патологічного прикусу.
Коригуючі системи встановлюють дітям і дорослим. Якщо ще кілька десятиліть тому
єдиною моделлю для усунення дефектів прикусу були грубі металеві дужки, то
сьогодні лікування відрізняється не тільки ефективністю, але і високою
естетикою.
Показання для встановлення
Саме слово «брекет»
перекладається з англійської як «скоба». Брекети складаються з металевої дуги, брекетів і кріплень. Через брекет,
закріплений на кожному зубі, проходить ортодонтична дуга. Ортодонтична металева
дуга — дріт зі спеціального сплаву металів, що володіє «пам'яттю» форми. Саме
під її тиском зуби поступово рухаються, повертаються, стаючи на фізіологічно
правильне місце. Лігатура (опціонально) — кільця з гуми або металу, які
кріплять дугу в пазах. Існує також і безлігатурна брекет-система.
Брекет-системи виправляють такі проблеми:
·
порушення
прорізування зубів у дітей віком 9-12 років;
·
патологічний
прикус і супутні проблеми;
·
вроджені аномалії
розвитку зубощелепового ряду;
·
скупченість
зубів;
·
щілини, великі
міжзубні перегородки.
Патологічний прикус потребує корекції не тільки з
естетичною метою. Неправильний прикус згодом призведе до болю у
скронево-нижньощелепному суглобі, проблем зі змиканням зубів, викривленням
положення щелепи. Грубі порушення
призводять до спотворення дикції, рясного слиновиділення, захворювань ротової
порожнини та органів шлунково-кишкового тракту.
Протипоказання до установки брекетів, переважно,
відносні. Рішення про корекцію лінії зубного ряду ґрунтується на результатах
стоматологічного огляду, загальноклінічному анамнезі хворого та, за
об'єктивного оцінювання, готовності носити ортодонтичний виріб.
Класифікація брекет-систем
За місцем
розташування:
·
вестибулярна
брекет-система —являє собою класичний варіант установки на зовнішній
поверхні зуба
·
лінгвальна
брекет-система —закріплюють на внутрішній поверхні зубної емалі, тому
лікування відбувається непомітно для оточуючих. Незважаючи на високу естетику й
непомітність, лінгвальні брекети мають низку суттєвих особливостей. Лінгвальні
брекети частіше встановлюють дорослим. Це пов'язано з тим, що в дітей
часто виникають такі проблеми, як травма слизових оболонок ротової порожнини,
складності в гігієні, спотворення дикції, шепелявість і рясне слиновиділення.
Адаптивний період тривалий.
За способом
фіксації дуги:
лігатурні — дуга кріпиться за допомогою
лігатур - особливі кріпильні елементи з
металу або пластичного матеріалу.
самолігуючі брекети —
дуга кріпиться на мікрозамках. Самолігуюча брекет-система візуально менш
громіздка та більш естетична.
За матеріалом виготовлення
Найбільш значуща для пацієнтів класифікація, що
визначає, як буде виглядати зубний ряд упродовж усього лікування. Залежно від
матеріалу виготовлення брекети можуть бути:
– металевими;
– керамічними;
– сапфіровими;
– комбінованими.
1. Металеві
- стандартні конструкції з металосплаву. Переваги полягають у доступності,
міцності та лікуванні будь-яких патологій прикусу. Однак металоконструкції
обирають далеко не всі через низьку естетику. Поставити на зуби брекети з
металу частіше бажають пацієнти, старші за 20 років, із нормально сформованою
самооцінкою.
2. Керамічні.
Досить міцні і красиві вироби буквально
збігаються з відтінком емалі, однак на цьому переваги закінчуються. Керамічні
брекети не використовують для грубих дефектів прикусу. Вироби зафарбовуються
харчовими барвниками і знижують естетику, а також нестійкі до механічного
впливу.
3. Сапфірові брекети – ідеальний
варіант для людей, кому важлива їхня посмішка під час лікування. Вони непомітні
на зубах і пацієнт не відчуває психологічного дискомфорту.
Виготовляються вони зі штучного сапфіра медичного призначення, що
відрізняється своєю міцністю, надійністю і естетикою. Вирощують ці
матеріали за тими ж технологіями, як і ювелірні кристали. Сапфіри виходять
прозорими і безбарвними, ефектно сяють при попаданні сонячних променів. Прозорі брекети з сапфіра мають безліч переваг:
·
красиво
виглядають в ротовій порожнині і практично непомітні;
·
надійні і
міцні;
·
не фарбуються
харчовими продукти, напоями та нікотином;
·
пацієнт до них
швидко звикає, і під час їжі не травмує слизові оболонки ротової порожнини;
·
не спотворюють
мовлення;
·
завдяки
красивому блиску, виглядають як прикраса.
4. Комбіновані
брекети – це розумний компроміс між естетикою та функціональністю. Інновація
полягає у встановленні малопомітних вестибулярних брекетів в зоні посмішки і
металевих брекетів на ділянку жувальних зубів. В деяких випадках можливе
комбінування брекет-систем по щелепах: на верхню щелепу встановлюється
естетична, малопомітна брекет система ( керамічна, сапфірова), а на нижню
щелепу металева брекет-система.
Установка брекетів у дітей проводиться після повної
зміни молочних зубів на постійні, тобто при повністю сформованому постійному
прикусі.
ЕТАПИ ОРТОДОНТИЧНОГО
ЛІКУВАННЯ
Ортодонтичне лікування складається з таких етапів:
1.
Консультація
та діагностика.
Сюди входить огляд
лікаря-стоматолога, оцінка стану ротової порожнини, встановлення діагнозу та
призначення додаткових методів обстеження. Залежно від вашої клінічної
ситуації, спеціаліст порадить найкращі варіанти лікування. Коли метод обрано,
потрібно зробити оглядовий знімок щелеп (ортопантомограму) та зняти відбитки з
обох щелеп.
2. Підготовка
до виправлення прикусу.
На даному етапі відбувається підготовка ротової
порожнини до встановлення обраних ортодонтичних конструкцій. Стоматолог замінює
старі пломби, лікує карієс, пульпіт, пародонтит та інші запальні процеси. При
потребі видаляються зуби мудрості – для того, аби збільшити місце для інших
зубів.
3. Основний етап – встановлення обраних
ортодонтичних конструкцій.
Це найбільш тривалий і важливий етап. Тут, за
допомогою знімних (зубні пластини, капи) або незнімних (брекети різних видів)
механізмів відбувається виправлення прикусу. Протягом періоду лікування
ортодонт регулює та коригує дані конструкції. Важливо відвідувати стоматолога у
встановлений термін та дотримуватись усіх його рекомендацій зі способу життя та
догляду за зубами. Тоді лікування не ускладниться та буде ефективним.
4. Ретенційний етап.
Це час закріплення результату після основного етапу.
Після зняття ортодонтичних конструкцій важливо зафіксувати зуби у встановленому
положенні та запобігти їх викривленню. Використовують також знімні та незнімні
апарати, які носять протягом певного періоду часу, залежно від рекомендацій
лікаря-ортодонта.
